Full Mouth Extraction: Indications, Risks and Solutions
A full mouth extraction – removing all teeth in one or both jaws –...
Read moreWe share useful insights, clear explanations, and expert guidance to help you explore dental topics with more confidence.
A full mouth extraction – removing all teeth in one or both jaws –...
Read more
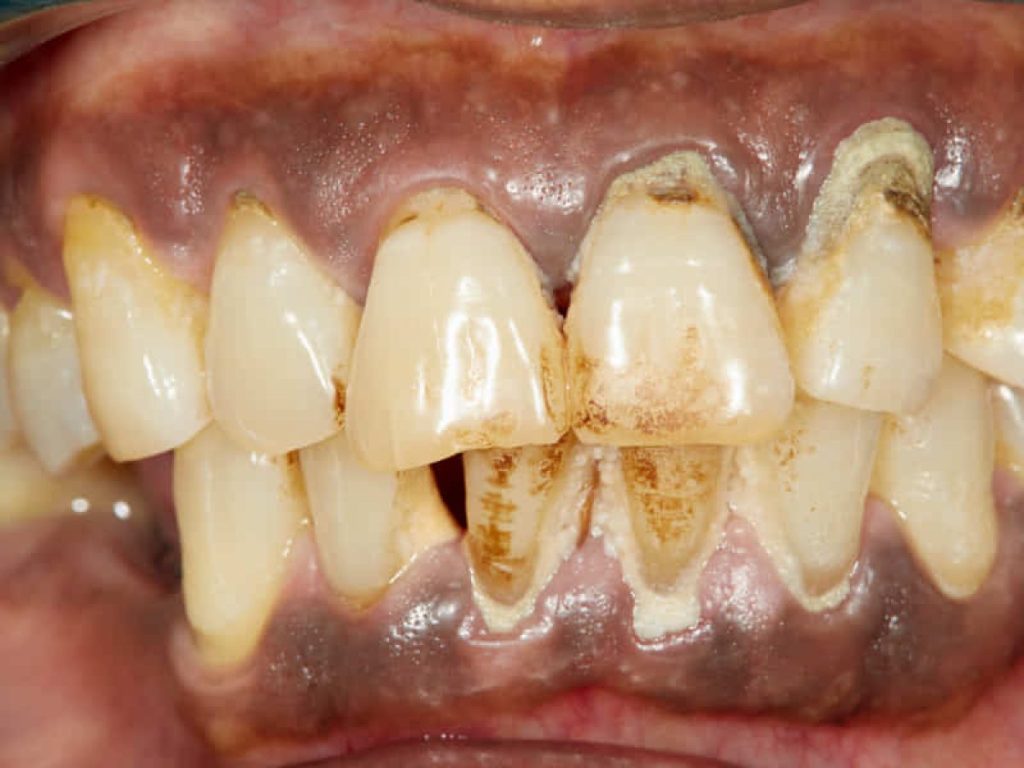
Periodontitis can’t be permanently cured, but it can often be contained when treated early....
Read more
Flossing is a cornerstone of oral hygiene. Despite major advancements in dental implant technology...
Read more
If you’ve ever experienced an odd tingling or itching sensation in your gums, you...
Read more
Here’s something a lot of people wonder: can you stop periodontal disease before your...
Read more
Dental implants have transformed modern dentistry, offering a reliable and long-lasting solution to missing...
Read moreWhat is an amalgam (filling)? Amalgam or filling refers to the material used to...
Read more
Note: This article has a purely informative and educational role. It aims to educate...
Read more
The links between teeth and eyes There is a link between a dental infection...
Read more
The devitalization of a tooth (endodontics) is a controversial subject in the dental world...
Read more
This article has a purely informative role. It aims to sensitize people at risk...
Read more
Periodontitis is a disease of the periodontium, the tissues in contact with the tooth...
Read moreTake the first step toward your dream smile. Contact Anveli Dental to get a quote now and discover how we can transform your life in just 7 days.
Error: Contact form not found.