
Periodontitis is a disease of the periodontium, the tissues in contact with the tooth and the gum. This gum disease is very difficult to treat, it destroys the soft tissues and then the tissues that surround the tooth. It causes a progressive loosening of the teeth until instability and their progressive fall. The loosening of the teeth caused by periodontitis causes pain.
Causes of periodontitis
Several factors contribute to the onset and progression of periodontal disease. The main causes are:
- The accumulation of dental plaque (tartar)
- Smoking
- Poor hygiene
- Age
- Diabetes
- Taking certain medications
- Certain immune diseases
Causes of periodontitis
On the dentition:
- Loosening followed by progressive loss of teeth
- Mobility of teeth
- Bone deterioration and atrophy
- Bleeding and pain
Risks of periodontitis
- Premature pregnancy: There is a correlation between premature births and periodontitis due to hormonal changes during pregnancy in mothers.
- Heart and heart attack risks. Periodontal disease significantly increases the risk of coronary heart disease and heart disease. Studies have shown that people with periodontitis are 25% more affected by heart attacks.
- Lung disease: The presence of bacteria can generate lung infections because they can be aspirated.
- Affects the immune system: It receives signals that a bacterial infection is in progress, triggering an immune defense process. The body is constantly in a state of defense.
- Bacteria in the blood of people suffering from periodontal disease is very high because the bac teria present in the mouth spread and colonize all tissues.
- Risk to the brain. Untreated periodontitis can spread to the brain through the blood.
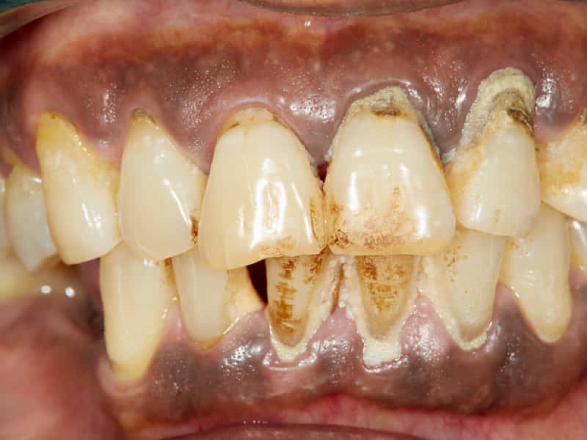
Different stages of periodontitis

In dentistry we classify periodontitis in 10 degrees of evolution. Here we will only develop the 3 stages the 3 major stages of periodontal infection.
1st stage: Gingivitis
Gingivitis is an inflammation of the gums. It is the first stage of periodontitis. At this stage, periodontitis can still be avoided for this it is necessary to have a strict dental hygiene and to consult your dentist so that it eliminates dental plaque through careful scaling.
2nd stage: Periodontitis
At this stage of the disease, the gingiva retracts and at the same time periodontal pockets form between the tooth and the bone tissue. These are the result of the accumulation of bacteria that form on the dental plaque.
At this stage, it is still possible to treat periodontal pockets to slow down the progression of periodontitis. Scaling and planing (curettage) of the roots are then necessary. This makes it possible to reduce periodontal pockets and reduce thus all the symptoms of periodontal disease (inflammation, bleeding gums …).
3rd stage: Advanced periodontitis
If the disease is not treated appropriately at stages 1 and 2, the disease progresses and turns into so-called advanced periodontitis, severe or deep. At this stage, there is a significant retraction of the gums, heavy infections and loose teeth until they fall.
The warning signs of gingivitis in periodontitis
- Bleeding gums when brushing
- Instability of teeth, (loose teeth)
- Recurrent abscesses and infections of the gum
- Hypersensitivity of teeth.
Avoid and prevent periodontitis
- Have strict oral hygiene (see hygiene advice)
- Brushing teeth after each meal
- Use of dental floss and an oral shower
- Mouthwash treatment once every two months
- Visit your home every year dentist to perform scaling.
Avoid and prevent periodontitis
The success of the treatment of periodontitis depends a lot on the stage it has reached.
In its primary stage: When the alteration of the pockets is minimal, periodontitis can be treated by the elimination of tartar and bacteria at the junction between the gum and The teeth. Probing cleaning may also be necessary on the roots of the teeth. It is performed under local anesthesia. A Paroflox Surgical type mouthwash helps to stop the progression of the infection.
In its mid-stage: When the tissues are slightly altered, gingival surgery can be performed. The success rate is low but it is the only variant of treatment allowing to keep the teeth. At this stage Paroflox Surgical will slow the progression of periodontitis.
In its final stage: When the tissues are already damaged, the only solution is the extraction of the teeth. Basal implantology has a very good success rate for patients with periodontitis.
See tooth replacement by implant basal.
Natural treatment against periodontitis
Note that the following information is given for information only and that it has not been the subject of a strict study for the treatment of periodontitis. There is no treatment or cure natural to treat periodontitis but certain molecules such as Paroflox Surgical can have an effect limiting the development of bacteria.
Dental implant after periodontitis


When the patient has an advanced gum disease such as periodontitis, the only viable treatment is very often the extraction of the affected teeth. Periodontitis has a resorptive effect on the gum tissue but also on bone tissue. Thus, in nearly 80% (1) of these patients, more or less severe bone atrophy is found. In this case, there are two solutions: Bone graft + traditional implants or implant basal. When the teeth are extracted, the periodontal pockets that surround them also disappear.
