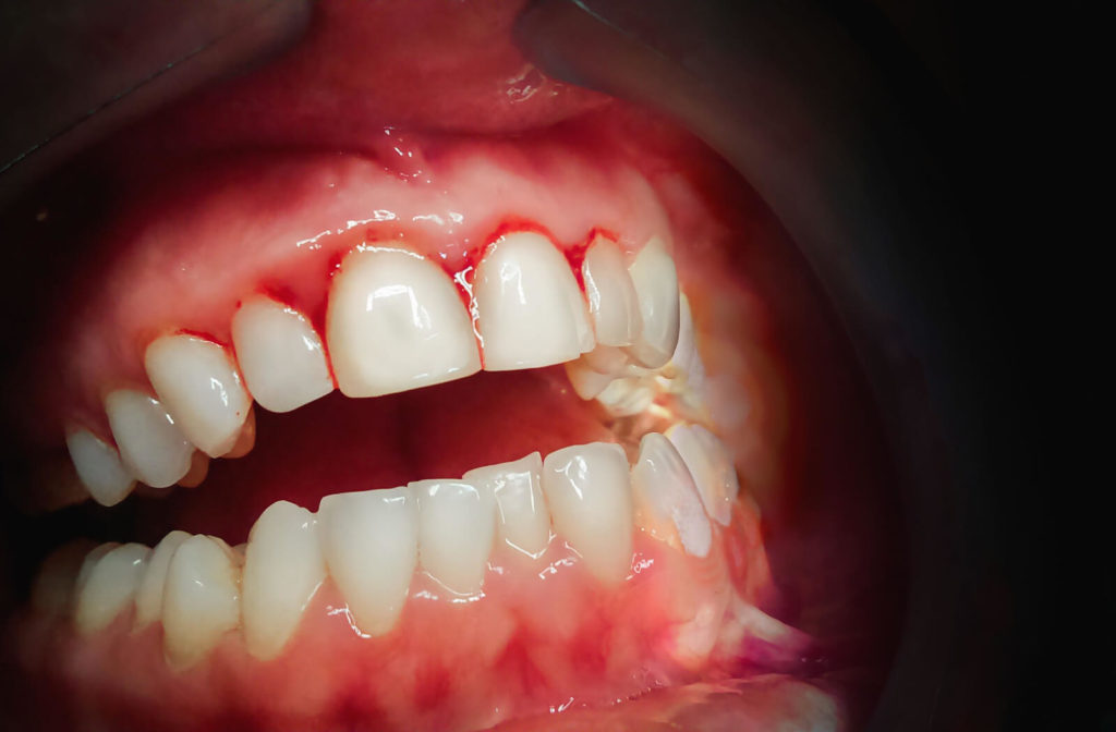
Oral infections
This article has a purely informative and educational role. It aims to sensitize people...
Read moreWe share useful insights, clear explanations, and expert guidance to help you explore dental topics with more confidence.
This article has a purely informative and educational role. It aims to sensitize people...
Read more
This article has a purely informative role. It aims to inform people about the...
Read moreTake the first step toward your dream smile. Contact Anveli Dental to get a quote now and discover how we can transform your life in just 7 days.
Error: Contact form not found.